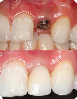
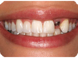
Vakaya göre değişmekle beraber 1 implantı cerrahi olarak uygulama süremiz genelde 15 dakikadır. Birçok vakada diş çekilir çekilmez çıkan diş boşluğuna implant yerleştirilebilir. Cerrahi aşamayı takiben implantla çene kemiği arasında sağlıklı bir kemik dokusu oluşumu için alt çenede 2-3 ay üst çenede 3-5 ay beklenmesi gerekir. Yeterli süre geçtikten sonra protez aşamasında, implantların üzeri açılıp ölçüleri alınır. 2-3 seansta ve yaklaşık 1 haftada implant üstü protez yapılarak tedavi tamamlanır.
Hastanın genel sağlık durumunun ve mevcut dişlerinin detaylı bir klinik ve radyolojik muayenesinden sonra, çene cerrahınız implant için uygun bir aday olup olmadığına karar verir. Hastanın diş ve diş eti hastalıklarına neden olan etkenler ağızdan uzaklaştırılır. Ağız bakımı ve sağlığı kazandırıldığında implant uygulaması yapılır.
Özellikle ağır kortizon kullanan hastalar, ileri kardiyovasküler problemi olanlar, şeker hastalığı olan kişiler (şeker belli bir seviyede tutulabiliyorsa, bu hastalara da implant yapılabilir), kan hastalığı olanlar, kemoterapi veya radyoterapi gören hastalar genellikle implanta uygun adaylar değildir. Hasta günde 1 paketi aşkın sigara içiyorsa ve ağız diş sağlığına önem vermiyorsa implant tedavisinin başarısı azalmaktadır. İmplantın başarısı için çepeçevre saracak kalınlıkta ve uzunlukta kemik alanının olması şart olduğu için, hastanın çeşitli röntgenler ve kemik kalınlığını ölçebilen aletlerle yeterli kemik miktarının olup olmadığı araştırılır. Tüm bu faktörler değerlendirilip hastanın implanta uygun olup olmadığı belirlenir.
Tamamen dişsiz ağızlarda tüm eksik dişler için implant gerekli değildir. Sabit protez planlanırken alt çeneyi ayrı, üst çeneyi ayrı düşünürüz. Üst çene kemiğimiz alt çenemize göre daha yumuşak ve dirençsiz bir yapıda olduğundan alt çeneden daha fazla implanta ihtiyaç duyarız. Birçok vakada üst çeneye 8 alt çeneye 6 implant uygulanmaktadır. İmplant sayılarındaki farklılık, kişinin kemik durumuna göre değişir. Kemik uzunluğu, genişliği, kemik kalitesi, sinüs sarkıklığı ve benzeri etmenler implant sayısını arttırır veya azaltır.
içerik, www.hospitadent.com sitesinden derlenmiştir...